以后掉了的牙,说不定还能重新长出来!
当我老了,到牙齿都掉光的那一天,一定会开始羡慕鲨鱼,因为鲨鱼的牙齿有重生的能力,就算牙掉了,它们仍可以不断地长出新牙齿来作为替换。
但可惜,包括人类在内的哺乳动物,早就在演化过程中失去了不断重生牙齿的能力,因为哺乳动物的饮食习惯要求我们拥有比鱼类更复杂的牙齿结构,而失去牙齿重生的能力,便是我们为此必须做出的取舍。一些啮齿类动物,比如小鼠,一生只会长出一套牙齿,一旦因为受伤或得病掉了一颗牙,那么它们就彻底失去了这颗牙,不会再有新牙长出。
我们人类的情况要稍微好一点,因为我们还保留了一次换牙的机会。在婴儿时期,我们先是长出乳牙,乳牙伴随着我们长大,然后陆陆续续脱落,逐渐被新长出的恒牙替换。而这些恒牙将会伴随我们度过接下来的人生,如果我们不小心失去了恒牙,便也不再会有新牙长出来替换它了(一般情况下是这样的,但后文我们将提到一些恒牙后继续长牙的特殊情况)。
目前因为各种问题而缺失牙齿的人,只能通过假牙、种植牙等方法来治疗和弥补,但最近日本科学家开发的一种新药物,有望让缺失牙齿的患者直接长出新牙齿。
一个基因就能影响牙齿数量
“让人长出新牙齿,是每个牙医的梦想。从我还是研究生起,就一直致力于实现这个想法。”领导这项研究的研究者,日本大阪市医学研究所北野医院首席研究员兼牙科和口腔外科主任高桥克在接受日本《每日新闻》采访时说道。
世界上有很多人,一出生就缺少牙齿,这些人从小就会在咀嚼、吞咽和说话等基本能力方面挣扎,这可能对他们的成长产生极大的负面影响。先天牙齿的缺失,可能是基因缺陷导致,也可能是发育早期的环境因素引起,比如病毒感染。

人的牙齿组成 图片来源:wikimedia
而高桥就一直在寻找治疗这些先天缺牙患者的方法。在获得口腔医学学士学位后,高桥于 1991 年来到日本京都大学攻读分子生物学研究生,随后,他前往美国留学。
那时,世界各地的研究者陆陆续续地发现了一些与牙齿缺失相关的基因,一旦在小鼠中删除这些基因,就会导致它们缺失牙齿。这让当时的高桥萌生了一个想法:“仅一个基因的变化,就可以影响牙齿的数量。如果我们将其作为研究目标,就有可能改变人类的牙齿数量。”
换牙后还可能长牙
2005 年左右,高桥回到日本,在京都大学继续他的研究。很快,他似乎在一类与牙齿缺失相反的疾病中找到了答案:一些人类和哺乳动物会比正常情况长出更多的牙,即“牙过多”(hyperdontia),它可能由某种基因缺陷引起。

“牙过多”患者 图片来源:Takahashi et al, 2013
此前有研究者发现,缺乏合成 USAG-1 蛋白的基因的小鼠,牙齿的数量会增加。而高桥的研究团队通过多年的研究,理清了其中的机制。他们认为,许多“牙过多”患者,多出的牙可能来源于人类的“第三牙列”(third dentition)。
乳牙属于“第一牙列”,恒牙(除磨牙外)属于“第二牙列”,通常情况下,在这两列牙之后,不会再有牙长出来。但一些科学家认为,人除了乳牙和恒牙外,还有继续生长牙齿的潜力。一些研究发现,人和一些哺乳动物在恒牙靠舌的一侧,还有潜力发育出新牙列的上皮牙基(epithelial anlage),只不过在正常情况下,它们会在生长过程中逐渐凋亡,不会真正发育成新的牙齿。

人和小鼠还有长出额外牙列的潜力 图片来源:Takahashi et al, 2020
而 USAG-1 蛋白的功能,恰好是抑制“第三牙列”的生长,它可以抑制在牙齿发育过程中两种至关重要的蛋白质:骨形态发生蛋白(BMP)和 Wnt。而那些出现“牙过多”症状的人或小鼠,很多正是由于编码 USAG-1 的基因存在缺陷,BMP 和 Wnt 信号没能被有效抑制,部分属于新牙列的牙齿长了出来。

通过抑制 USAG-1 功能让缺牙患者长牙的思路 图片来源:Takahashi et al, 2020
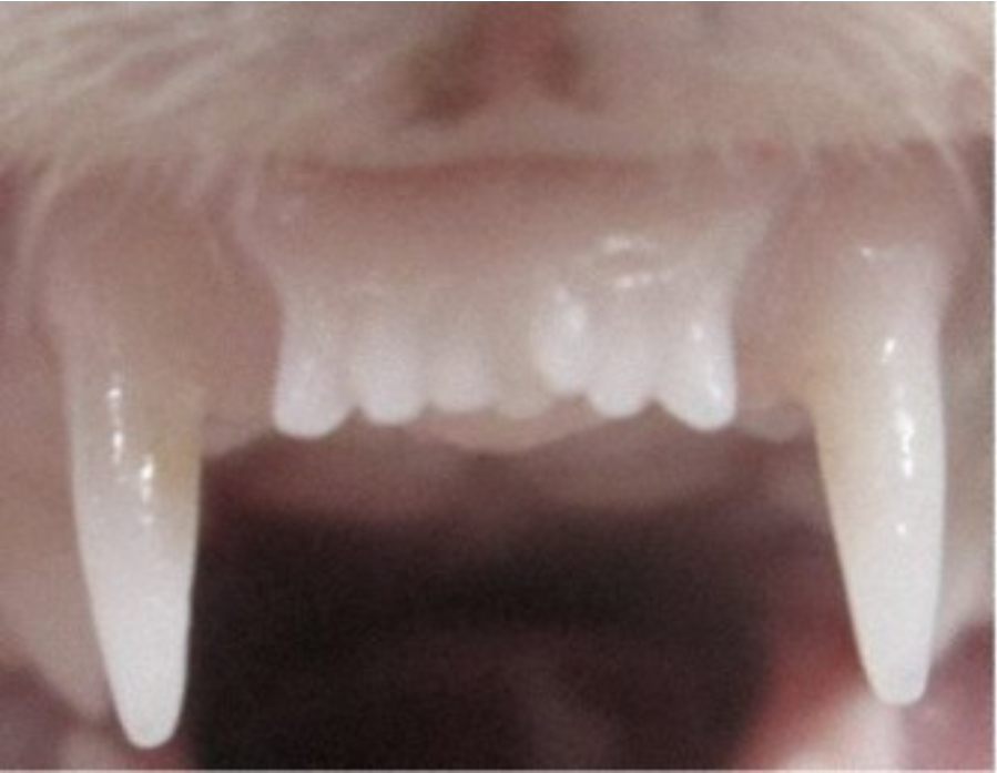
高桥意识到,如果能人为地靶向阻断 USAG-1 蛋白的功能,是不是就有机会让缺失牙齿的人,再长出牙齿呢?于是,在 2018 年发表于《科学·进展》(Science Advances)的研究中,高桥团队成功研制出了一种可以抑制 USAG-1 与 BMP 结合的中和抗体,并成功让小鼠和雪貂长出了正常形态的牙齿,且没有发现副作用。

长出新牙的雪貂 图片来源:Takahashi et al, 2018
而现在,他们已经据此进一步研制出了准备用于人的长牙药物 TR035,现已通过日本相关机构的批准,将于 2024 年 9 月到 2025 年 8 月期间开展I期临床试验。他们将招募 30 至 65 岁的有一颗或多颗臼齿缺失的男性,进行单剂量、双盲的安慰剂对照组试验,以确认该药物的安全性。接下来,他们将招募年龄在 2 到 7 岁之间,有 4 颗或更多先天性缺失牙齿的患者,用以探究该药物的效果。

研究进展 图片来源:Ravi et al, 2023
据《每日新闻》报道,研究团队相信,这种药物未来不仅能帮助先天缺牙的人长出牙齿,还能帮助那些因为蛀牙或受伤而失去牙齿的人重新长出牙齿。根据计划,该药物有望在 2030 年开始上市销售。
希望它将来能帮到许多人吧。或许等我老了,就不用再羡慕鲨鱼了。
来源:科普中国
